Cabinet Dentaire
du Docteur Romulus SIMON

Dr. Romulus SIMON, Chirurgien Dentiste - Faculté de Médecine et Pharmacie d'Oradea, AEU de Parodontologie - Faculté d'Odontologie de Lyon

4, rue Stendhal
84170 Monteux
Tél. : 04 90 66 21 59

Recherche

par mot-clés

Sur notre site Internet, vous trouverez des moyens de prévention pour une bouche et des dents saines ainsi que des informations pratiques sur l'équipe et le cabinet. N'hésitez pas à nous contacter !
La Carie avancée
Une de vos dents est cariée au point de ne pas pouvoir la reconstruire par des obturations classiques (plombage, composite, inlay). Une couronne s'impose, pourtant, il n'est pas nécessaire de dévitaliser votre dent.

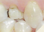
ancienne obturation - Ancienne obturation

Une dent déjà obturée sur deux ou trois faces présente une nouvelle carie sous ou à côté de cette obturation. Mais la matière profonde subsiste.


 - Fracture

Une dent reconstituée par une opturation volumineuse : celle-ci a fracturé la dent et provoqué la perte d'une grande partie de la couronne.

Infiltration

Les dents du sourire (incisives, canines ou prémolaires) restaurées plusieurs fois par des composites de plus en plus importants, finissent par s'infiltrer de tabac, impuretés, etc.



 - Coloration

Une dent obturée par un amalgame, dont les éléments constituant le matériau se sont diffusés à l'intérieur de l'émail, développe une teinte peu esthétique.

Dent isolée

Suite à la perte d'une dent voisine, une dent saine s'est inclinée. Cette position rend inefficace la mastication et empêche le remplacement de la dent manquante.


La réponse classique de la dentisterie consistait à dévitaliser ces dents et à les protéger avec une couronne. Pourtant il est toujours préférable de conserver une dent vivante.


Indépendentaire Editeur - Tous droits réservés