Dr. Romulus SIMON, Chirurgien Dentiste - Faculté de Médecine et Pharmacie d'Oradea,
AEU de Parodontologie - Faculté d'Odontologie de Lyon
4, rue Stendhal
84170 Monteux
Tél. : 04 90 66 21 59
Recherche
par mot-clés

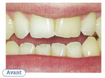
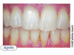
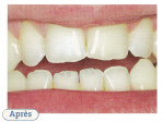
L'expertise des chirurgiiens-dentistes en matière de blanchiment permet de traiter la quasi-totalité des cas de figure avec un résultat tel que montré sur les photos ci-contre.
Il existe de nombreux procédés pour influencer la teinte de votre émail, votre chirurgien-dentiste saura faire le bon diagnostic et vous proposer le procédé adapté à votre cas personnel:au cabinet ou chez vous, suivant la spécificité de votre bouche.